Public Collections
CANP
2022
Case 4
Thumbnail View
List View
Case_4.svs
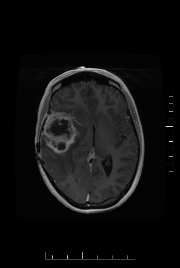
Case_4_T1C.jpg
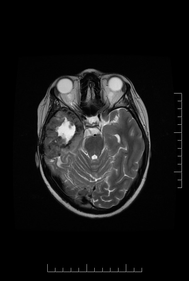
Case_4_T2.jpg
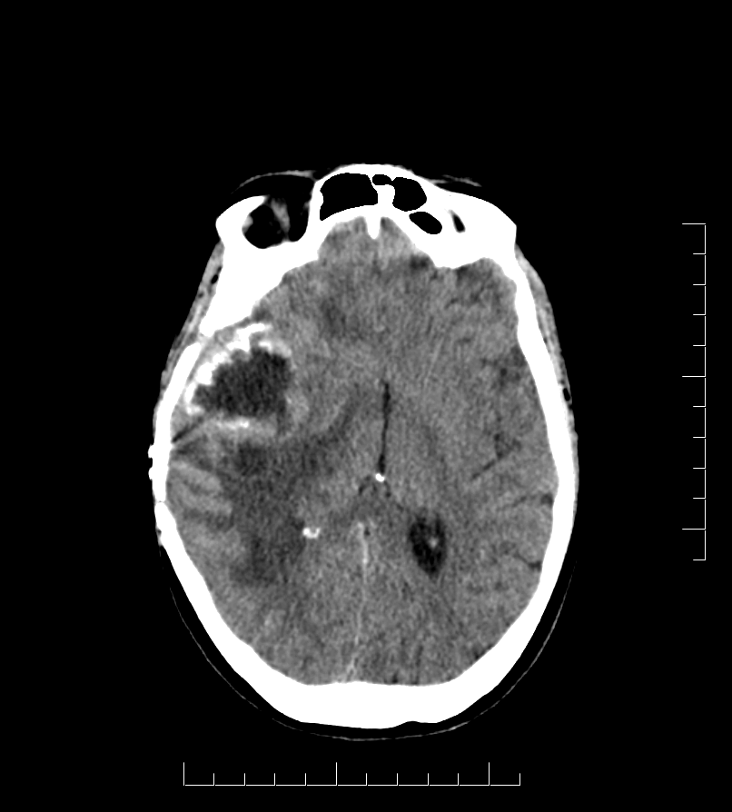
Submission_25_DC_Eaton_CT (1).…
New folder name:
New folder name: